Today we had an appointment with our first NST and an ultrasound.
To start with, the doctor was a little concerned with my weight because there was a pretty significant gain over the past two weeks. I've had swollen feet for what seems like the entire pregnancy, but this time she felt like I was more swollen... especially in my legs... all the way up to my knees. She is very aware of and watching for pre-eclampsia, which rapid weight gain is a symptom of. But everything else checked out good, so we are okay for now.
We had our first NST test and the doctor was so happy with the girls. She said their test was perfect... text book results that doctors get excited about. YAY!
We had the ultrasound after that. Both girls have grown and had strong heartbeats.
Baby A
Heartbeat: 142
Weight: 5 pounds, 3 ounces
Baby B
Heartbeat: 146
Weight: 4 pounds, 4 ounces
The doctor was a little concerned with the difference in the girls weights. She did feel like maybe the measurement was off for Baby B. Normally with babies who have stopped growing, they have smaller belly and femur measurements, but for our B, it was the head measurement that was smaller, causing the lower weight total. The doctor really felt like the measurement wasn't quite accurate.
We are going back to the doctor on Monday to repeat all of these same tests. Hopefully we will get a better measurement on baby B. There is a small possibility that there could be a delivery soon... if baby B's measurements haven't changed. Small, but the doctor did suggest that we be aware and prepared for that.
In the meantime, these girls rarely stop moving! I am pretty miserable... sleeping and moving are difficult. A few more days and I am ready for these girls to be here anytime they are ready!!!
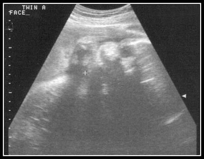
We still don't get to see Baby B's face ever, but Baby A shows us her sweet little face every ultrasound. It's a little hard to see, but this is her looking straight at us again. You can see her eye near the top and then her little nose. The best part is her little chubby cheek!!!
To start with, the doctor was a little concerned with my weight because there was a pretty significant gain over the past two weeks. I've had swollen feet for what seems like the entire pregnancy, but this time she felt like I was more swollen... especially in my legs... all the way up to my knees. She is very aware of and watching for pre-eclampsia, which rapid weight gain is a symptom of. But everything else checked out good, so we are okay for now.
We had our first NST test and the doctor was so happy with the girls. She said their test was perfect... text book results that doctors get excited about. YAY!
We had the ultrasound after that. Both girls have grown and had strong heartbeats.
Baby A
Heartbeat: 142
Weight: 5 pounds, 3 ounces
Baby B
Heartbeat: 146
Weight: 4 pounds, 4 ounces
The doctor was a little concerned with the difference in the girls weights. She did feel like maybe the measurement was off for Baby B. Normally with babies who have stopped growing, they have smaller belly and femur measurements, but for our B, it was the head measurement that was smaller, causing the lower weight total. The doctor really felt like the measurement wasn't quite accurate.
We are going back to the doctor on Monday to repeat all of these same tests. Hopefully we will get a better measurement on baby B. There is a small possibility that there could be a delivery soon... if baby B's measurements haven't changed. Small, but the doctor did suggest that we be aware and prepared for that.
In the meantime, these girls rarely stop moving! I am pretty miserable... sleeping and moving are difficult. A few more days and I am ready for these girls to be here anytime they are ready!!!
We still don't get to see Baby B's face ever, but Baby A shows us her sweet little face every ultrasound. It's a little hard to see, but this is her looking straight at us again. You can see her eye near the top and then her little nose. The best part is her little chubby cheek!!!
1 comment:
you are SOOOOO CLOSE!! I can't wait!!!! OH MAN!!! I was SO SO SO SO sad to miss your shower in Dallas. I will be greatly anticipating the first trip to make to longview with the girls!!!!! :) Love y'all and are saying extra prayers for you as the day draws closer!
Post a Comment